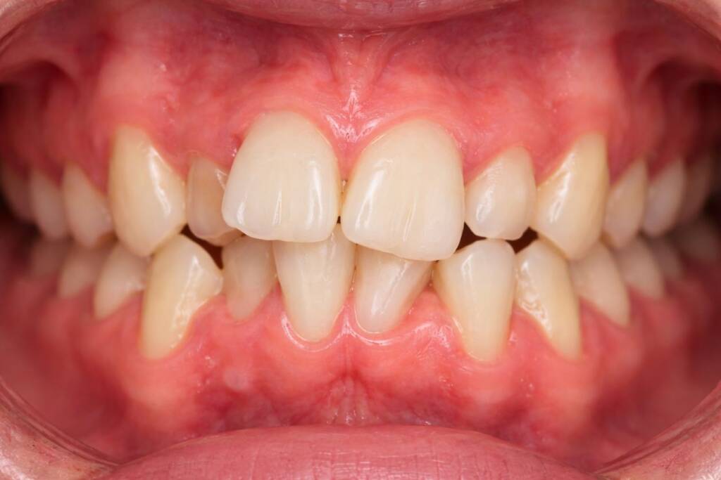
El apiñamiento dental es una condición común que se produce cuando los dientes no tienen suficiente espacio en la boca y se amontonan o giran. Este problema puede afectar tanto a la estética de la sonrisa como a la salud bucal en general, ya que dificulta la limpieza adecuada de los dientes, aumentando el riesgo de caries y enfermedades de las encías. La definición de apiñamiento dental incluye cualquier malposición dental causada por falta de espacio, ya sea en el arco superior o inferior.
Causas del apiñamiento dental
El apiñamiento dental es un problema ortodóntico común que puede afectar a personas de todas las edades. Existen diversas razones por las cuales los dientes pueden no tener suficiente espacio para alinearse correctamente. A continuación, se detallan algunas de las principales causas del apiñamiento dental:
1. Factores genéticos
Uno de los principales factores que contribuyen al apiñamiento dental es la herencia genética. La forma y el tamaño de la mandíbula y los dientes a menudo se transmiten de generación en generación. Si los padres o familiares cercanos tienen dientes apiñados, es probable que los hijos también desarrollen esta condición. Según estudios, las dimensiones de la mandíbula y el número de dientes pueden influir significativamente en la probabilidad de sufrir apiñamiento dental.
2. Tamaños de los dientes y mandíbula
El desajuste entre el tamaño de los dientes y la mandíbula puede causar apiñamiento. En algunos casos, los dientes son demasiado grandes para el espacio disponible en la mandíbula. Esto puede resultar en una falta de espacio suficiente para que los dientes erupcionen adecuadamente, lo que provoca que se superpongan o se desalineen. Este desajuste es más común en personas con dientes permanentes que son más grandes que los dientes de leche que los precedieron.
3. Pérdida prematura de dientes de leche
La pérdida prematura de dientes de leche debido a caries o traumatismos puede llevar al apiñamiento dental. Cuando un diente de leche se pierde antes de tiempo, los dientes adyacentes pueden desplazarse hacia el espacio vacío. Esto puede alterar la erupción de los dientes permanentes que vienen detrás, provocando desalineaciones y apiñamiento.
4. Hábitos orales inadecuados
Los hábitos orales, especialmente durante la infancia, pueden contribuir al apiñamiento dental. Hábito de chuparse el dedo, el uso prolongado de chupetes o biberones, y el empuje de la lengua son algunos ejemplos de conductas que pueden influir en la posición de los dientes. Estos hábitos pueden afectar el desarrollo normal de la mandíbula y la alineación de los dientes, incrementando el riesgo de apiñamiento.
5. Maloclusiones
Las maloclusiones que pueden ser de origen esquelético y/o dental , pueden también dar lugar a apiñamiento. La relación incorrecta entre las arcadas dentales puede causar una distribución inadecuada del espacio, lo que provoca que algunos dientes queden apiñados. Diferenciamos 3 grupos principales de maloclusión : Maloclusión clase I, maloclusión clase II y maloclusión clase III.
6. Enfermedades periodontales
Las enfermedades periodontales avanzadas pueden provocar la pérdida de hueso y tejido que sostiene los dientes en su lugar. Esto puede dar lugar a un movimiento dental indeseado, contribuyendo al apiñamiento. La salud periodontal es fundamental para mantener la alineación dental adecuada y prevenir complicaciones en la dentición.
Tipos de apiñamiento dental
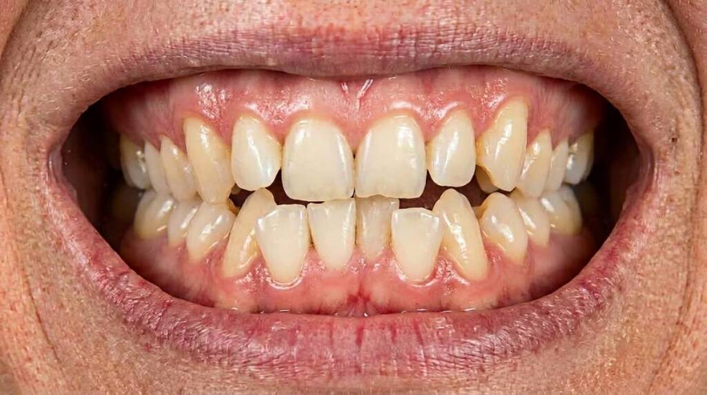
El apiñamiento dental es una condición en la que los dientes no tienen suficiente espacio para erupcionar correctamente, lo que provoca que se superpongan, se inclinen o roten sobre sí mismos. Esta situación puede dar lugar a problemas estéticos y funcionales, afectando tanto la mordida como la salud bucodental en general. Existen diferentes tipos de apiñamiento dental, que se pueden clasificar según la gravedad y la ubicación de los dientes afectados.
1. Apiñamiento dental leve
El apiñamiento dental leve se caracteriza por la presencia de un ligero desalineamiento de uno o dos dientes. En esta fase, los dientes pueden estar un poco apretados, pero la mayoría de ellos aún se encuentran en posiciones relativamente correctas. Este tipo de apiñamiento suele ser menos notorio y, a menudo, se puede corregir con tratamientos ortodónticos simples, como el uso de alineadores transparentes o Brackets.
2. Apiñamiento dental moderado
En el apiñamiento dental moderado, varios dientes están apretados y comienzan a superponerse. Este grado puede afectar la estética de la sonrisa y también puede influir en la función masticatoria. Los pacientes que experimentan este tipo de apiñamiento suelen requerir tratamientos ortodónticos más extensos, como el uso de brackets metálicos o cerámicos, para realinear los dientes de manera efectiva.
3. Apiñamiento dental grave o severo
El apiñamiento dental grave, también conocido como apiñamiento dental severo, implica una superposición significativa de los dientes. En este caso, es posible que los dientes estén tan desalineados que la mordida se vea afectada. Este tipo de apiñamiento puede provocar problemas funcionales, como dificultades para masticar y un mayor riesgo de caries debido a la dificultad para limpiar adecuadamente entre los dientes. La corrección de este grado de apiñamiento generalmente requiere un tratamiento ortodóntico prolongado, que puede incluir el uso de brackets tradicionales y, en algunos casos, cirugía ortognática.
4. Apiñamiento dental inferior y superior
El apiñamiento dental puede presentarse tanto en la arcada dental superior como en la inferior. El apiñamiento dental inferior afecta a los dientes mandibulares, mientras que el apiñamiento dental superior se refiere a los dientes del maxilar superior. Ambos tipos pueden presentar grados leve, moderado o grave. El tratamiento dependerá de la severidad y la disposición de los dientes afectados, así como de otros factores como la edad y la salud dental general del paciente.
5. Apiñamiento dental anterior y posterior
Además, el apiñamiento dental puede clasificarse según su ubicación en la boca. El apiñamiento dental anterior se refiere a la desalineación de los dientes del sector anterior, que son los más visibles al sonreír. Por otro lado, el apiñamiento dental posterior involucra los molares y premolares, que pueden afectar la función masticatoria. La elección del tratamiento también variará dependiendo de si el apiñamiento es anterior o posterior.
Riesgos del apiñamiento dental
El apiñamiento dental no es solo un problema estético; también puede tener consecuencias significativas para la salud bucodental y general. A continuación, se describen algunos de los riesgos asociados con esta condición.
1. Aumento del riesgo de caries
Los dientes apiñados pueden dificultar el cepillado y el uso del hilo dental, ya que el espacio interdental puede ser más difícil de limpiar. Esta falta de limpieza adecuada aumenta la acumulación de placa y, por ende, el riesgo de caries. Las áreas difíciles de alcanzar son propensas a la proliferación de bacterias, lo que puede llevar a la descomposición del esmalte dental.
2. Enfermedades periodontales
El apiñamiento dental también está relacionado con un mayor riesgo de enfermedades periodontales, como la gingivitis y la periodontitis. La acumulación de placa en áreas de difícil acceso puede inflamar las encías, llevando a infecciones y eventual pérdida de soporte óseo alrededor de los dientes. Según estudios, las personas con dientes apiñados tienden a tener un mayor grado de inflamación gingival.
3. Desgaste dental acelerado
La desalineación de los dientes puede causar un desgaste desigual. Cuando los dientes no se alinean correctamente, algunos dientes pueden experimentar una mayor presión durante la masticación, lo que puede llevar a la erosión del esmalte y aumentar la probabilidad de fracturas. Este desgaste dental acelerado puede requerir tratamientos costosos y complejos para restaurar los dientes dañados.
4. Problemas funcionales
El apiñamiento dental puede afectar la forma en que una persona muerde y mastica. Las maloclusiones causadas por dientes apiñados pueden dar lugar a problemas funcionales, como dificultades para masticar ciertos alimentos o una mordida ineficaz. Esto puede llevar a una alimentación inadecuada y a problemas digestivos. El bolo alimenticio se descompone de forma menos eficaz y estos puede causar enfermedades con la enfermedad por reflujo gastroesofágico.
5. Dolor y disconfort
La presión ejercida sobre los dientes apiñados puede provocar molestias o dolor. Esto es especialmente cierto si hay un apiñamiento severo, donde los dientes se encuentran tan ajustados que pueden generar tensión en las encías y en la mandíbula. Esta tensión puede también provocar dolores de cabeza o problemas a nivel de la articulación temporomandibular.
6. Impacto estético y psicológico
Aunque es un aspecto menos físico, el apiñamiento dental puede afectar la autoestima y la confianza de una persona. Una sonrisa desalineada puede llevar a sentimientos de vergüenza y ansiedad social, lo que puede afectar las relaciones interpersonales y la calidad de vida en general. El impacto psicológico de no estar satisfecho con la apariencia de los dientes puede ser considerable.
7. Problemas de habla
En algunos casos, el apiñamiento dental puede interferir con la pronunciación correcta de ciertos sonidos, causando problemas de habla. Esto es más común en niños en desarrollo, donde el apiñamiento puede afectar la forma en que se forman las palabras.
Cómo corregir el apiñamiento dental
Corregir el apiñamiento dental puede variar según la gravedad del caso, y existen varias opciones de tratamiento disponibles que se adaptan a las necesidades específicas de cada paciente. Aquí te presento algunas de las más comunes:
1. Ortodoncia
Este es el tratamiento más utilizado para corregir el apiñamiento dental, aplicable a casos leves, moderados y severos. Puede incluir el uso de brackets (metálicos, estéticos o linguales) o alineadores transparentes, como Invisalign. La ortodoncia trabaja para alinear los dientes y crear el espacio necesario en la arcada dental.
2. Disyuntor de paladar
Este aparato se utiliza principalmente en niños y adolescentes cuyos huesos maxilares aún están en desarrollo. Su función es expandir el paladar, lo que ayuda a crear espacio para que los dientes se alineen correctamente. Se suelen colocar en pacientes con maloclusión transversal del maxilar superior o paladar.
3. Exodoncia
En casos de apiñamiento severo, puede ser necesario extraer uno o más dientes para permitir que los restantes se reubiquen adecuadamente en la arcada dental. Este procedimiento se utiliza para crear más espacio y es más efectivo en pacientes con dientes muy apiñados.
4. Stripping dental
Esta técnica implica el limado de pequeñas cantidades de esmalte entre los dientes para ganar espacio. Es más adecuada para casos de apiñamiento leve y suele realizarse al inicio del tratamiento ortodóntico.
5. Cirugía ortognática
En situaciones donde el apiñamiento dental se debe a alteraciones esqueléticas, puede ser necesaria la realización de una intervención quirúrgica para posicionar el maxilar y la mandíbula de la forma más adecuada para y así proporcionar la mejor oclusión y el mejor resultado estético. Este procedimiento se combina generalmente con un tratamiento de ortodoncia para asegurar un resultado óptimo.
Es importante que cualquier tratamiento para corregir el apiñamiento dental sea evaluado y supervisado por un ortodoncista calificado. Ellos pueden determinar la mejor opción basándose en la severidad del apiñamiento, la salud general de los dientes y las necesidades estéticas y funcionales del paciente.
Apiñamiento dental en adultos
El apiñamiento dental en adultos es un problema que puede afectar tanto la estética como la funcionalidad de la boca. Este se produce cuando los dientes no tienen suficiente espacio para alinearse adecuadamente, lo que puede llevar a que se superpongan, se amontonen o se desplacen fuera de su posición correcta. Las causas del apiñamiento dental en adultos suelen ser variadas y pueden incluir factores genéticos, la pérdida prematura de dientes, o hábitos bucales durante la infancia, como la succión del dedo o el uso prolongado de chupetes.
Además de las implicaciones estéticas, el apiñamiento dental puede resultar en problemas de oclusión, dificultando la correcta mordida y provocando molestias al masticar y disfunción de la articulación temporomandibular. La acumulación de placa y restos de alimentos en dientes apiñados también aumenta el riesgo de enfermedades periodontales y caries, ya que son más difíciles de limpiar adecuadamente.
Para corregir el apiñamiento dental en adultos, existen varias opciones de tratamiento. La ortodoncia es el método más común y efectivo, y puede incluir el uso de brackets convencionales o alineadores invisibles, que permiten mover los dientes a su posición correcta de manera gradual. En algunos casos, puede ser necesaria la extracción de dientes para crear espacio adicional en la arcada dental. Otras opciones incluyen tratamientos como el stripping, que consiste en limar los dientes entre sí para ganar espacio, o el uso de carillas dentales para mejorar la apariencia sin necesariamente corregir la posición de los dientes.
Es fundamental que los adultos que experimentan apiñamiento dental consulten a un dentista para evaluar la situación y determinar el tratamiento más adecuado. Con un diagnóstico adecuado y una planificación del tratamiento, es posible lograr una sonrisa alineada y saludable, lo que no solo mejora la estética, sino también la salud bucal general.
Apiñamiento dental en niños
El apiñamiento dental en niños es un problema común que ocurre cuando no hay suficiente espacio en la arcada dental para que los dientes crezcan correctamente. Esto puede deberse a varios factores, incluidos el tamaño de la mandíbula, el tamaño de los dientes y la forma en que se desarrollan. En algunos casos, el apiñamiento puede estar asociado con hábitos como el uso prolongado de chupetes o el dedo succionado.
Uno de los factores más significativos en el desarrollo del apiñamiento es el crecimiento de los dientes temporales y su sustitución por dientes permanentes. Es importante que los padres supervisen el crecimiento dental de sus hijos y consulten a un ortodoncista a partir de los 6 años, cuando suelen salir los primeros dientes definitivos. Un diagnóstico temprano puede ayudar a identificar problemas y a implementar un tratamiento adecuado, como la ortodoncia interceptiva, que utiliza aparatos específicos para guiar el desarrollo de los huesos maxilares y facilitar el espacio para los dientes permanentes.
El tratamiento puede incluir diversas técnicas, como el uso de brackets, extracciones de dientes si es necesario, o aparatos removibles. La intervención temprana es clave para lograr un tratamiento más efectivo y menos complicado, ya que la boca de los niños aún está en desarrollo y puede responder mejor a las correcciones ortodónticas.

