Skip to content Skip to sidebar Skip to footer

Encías moradas: qué significa, causas más comunes y cómo eliminarlas

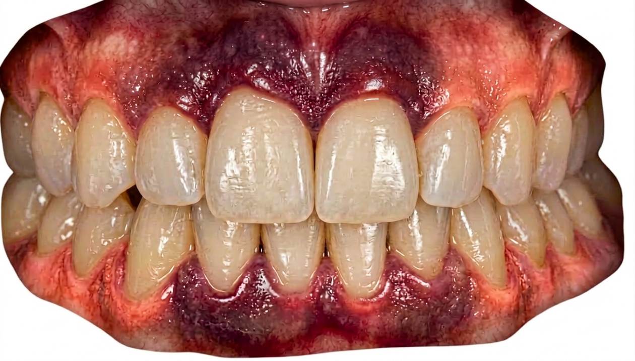
encías moradas

Ver las encías moradas en el espejo impone. A veces ocurre de un día para otro, otras lo notas al sonreír en una foto, y en muchos casos aparece justo cuando ya estabas preocupado por otra cosa: una molestia, un sangrado al cepillarte, una muela del juicio que está “dando guerra” o un tratamiento dental reciente. Y claro: si algo cambia de color en la boca, la mente se va a lo peor. 

Lo primero es ponerlo en contexto. Las encías pueden verse moradas por causas muy habituales y, la mayoría, con solución. En consulta lo más frecuente es que el color violeta o rojo oscuro venga de inflamación (gingivitis o periodontitis), de un hematoma o equimosis (un pequeño “moratón” por golpe o por irritación) o de la inflamación típica alrededor de una muela del juicio semierupcionada o parcialmente recubierta la encía. También es bastante común ver un tono violáceo tras una extracción, una endodoncia o un implante, porque el tejido está cicatrizando. 

Ahora bien: la encía también es un “termómetro” muy útil. Cuando el morado se acompaña de hinchazón o edema, sangrado frecuente, dolor incoercible, mal aliento persistente, mal sabor o supuración, suele indicar que hay un proceso activo (inflamatorio o infeccioso) que conviene tratar cuanto antes. Son signos de alarma que han de ser reconocidos para poder aplicar el tratamiento adecuado lo antes posible.  

Cómo saber si es un “cambio reciente” o tu color natural

Antes de buscar explicaciones complejas, conviene responder a una pregunta simple: ¿siempre has tenido la encía oscura o ha cambiado últimamente? 

Hay personas con encías naturalmente más pigmentadas. Esa pigmentación suele ser bastante estable en el tiempo y suele verse más o menos uniforme. Si toda la encía (o gran parte) es más oscura desde siempre y no hay molestias ni sangrado, no suele ser un hallazgo patológico sino más bien una hiperpigmentación fisiológica de la misma. 

En cambio, si el tono aparece “de repente”, si notas que va a más en pocos días o si se concentra en una zona concreta, entonces sí que ha de ser valorado. Un truco muy práctico es comparar con alguna foto anterior en la que se vea la línea de encía al sonreír. No hace falta que se vea perfecto: muchas veces basta con comprobar si el color era parecido o no. 

También importa la forma en la que aparece. Un cambio localizado, como una mancha morada o una zona con aspecto de moratón, suele apuntar a un golpe o irritación. Un cambio más difuso, con encía inflamada, suele encajar más con inflamación por placa. 

Encías moradas sin dolor vs encía hinchada y morada

Aquí hay un matiz que evita muchos sustos (y también muchos descuidos): no todo lo importante duele. 

Las encías moradas sin dolor pueden aparecer por pigmentación natural, por un pequeño hematoma que apenas molesta o por una gingivitis inicial que todavía no da molestias claras. Mucha gente asocia “problema” con “dolor”, y con la encía eso falla bastante. La gingivitis, por ejemplo, puede avanzar sin dolor, pero suele dar señales: sangrado al cepillarte, encía más brillante o abultada, y a veces mal aliento persistente. 

En cambio, cuando la encía está hinchada y morada, especialmente si duele al tocar o al masticar, suele haber un proceso más activo. Ahí entran con fuerza tres escenarios: inflamación periodontal más marcada, un hematoma evidente o una pericoronaritis alrededor de la muela del juicio. En estos casos, el cuerpo suele “hacer ruido” de una forma más clara. 

Causas frecuentes de encías moradas en adultos

En la práctica, la gran mayoría de casos se explican por inflamación por placa, por trauma/hematoma o por muela del juicio. Identificar cuál es el tuyo es lo que realmente marca el camino para solucionarlo. 

Gingivitis/periodontitis: cuando la inflamación oscurece la encía 

La encía sana suele verse firme, con un color rosado que varía según la persona, y no sangra con facilidad. Cuando se inflama por acumulación de placa, cambia de aspecto y de comportamiento: se vuelve más frágil, puede hincharse y su color puede pasar del rosa a tonos más rojos, oscuros o incluso violáceos. 

La gingivitis suele manifestarse con sangrado al cepillarte o al pasar hilo/interdental, sensación de encía “más sensible” y, en ocasiones, mal aliento que vuelve, aunque te laves los dientes. Es fácil normalizarlo (“siempre me sangra un poco”), pero no conviene. La encía que sangra con frecuencia suele estar inflamada, y la inflamación sostenida es la base del problema. 

Cuando ese proceso continúa en el tiempo, puede evolucionar a periodontitis, que ya implica afectación del tejido que sujeta el diente. Ahí pueden aparecer síntomas más claros: retracción de encía, mayor sensibilidad, mal aliento persistente, sangrado recurrente y, en casos avanzados, movilidad dental o supuración. La parte positiva: cuanto antes se detecta, más controlable es, y el tratamiento suele ser muy agradecido cuando el paciente se compromete con la higiene y el mantenimiento. 

Encía morada por golpe: hematoma en la encía 

La encía morada por golpe suele ser, literalmente, un “moratón” en la encía. Puede pasar por morderte con comida dura, por un cepillado demasiado agresivo, por un roce de ortodoncia o alineadores, por un golpe accidental, o incluso después de anestesia en procedimientos dentales. 

Suele ser una zona localizada, con un morado relativamente definido. A veces molesta al tocar o al cepillar encima, y otras apenas se nota. Lo habitual es que mejore con los días. Aquí lo más importante es no empeorarlo: si lo frotas, lo manipulas o intentas “rascarlo”, lo normal es que dure más. 

Encía morada muela del juicio: pericoronaritis y señales de infección 

Cuando el cambio de color aparece detrás, en la zona de la última muela, y especialmente si hay una muela del juicio saliendo o parcialmente cubierta por encía, es frecuente que estemos ante una pericoronaritis. La encía o el opérculo que cubre parte de la muela retiene placa y restos de comida con facilidad, y eso inflama el tejido. 

Lo típico es que aparezca inflamación en el lateral de la mandíbula, dolor al masticar por esa zona, sensación de presión, encía abultada, y a veces mal sabor o mal aliento. En algunos casos puede haber supuración. Si la molestia va a más, si notas inflamación importante o te cuesta abrir la boca con normalidad, es un caso para valorar pronto: suele resolverse mejor cuando se actúa a tiempo. 

perfil de encía morada

Mancha morada en la encía o encía morada en un diente: qué suele ser y cuándo revisarlo

Una mancha morada en la encía o una encía morada localizada alrededor de un solo diente suele tener una explicación local: un pequeño hematoma, inflamación concentrada en un punto donde se acumula placa, o irritación por un borde de empaste, corona, prótesis u ortodoncia. 

Aquí manda la evolución. Si aparece una mancha y no recuerdas golpe, lo sensato es observar unos días sin obsesionarse, pero con criterio. Si en 7–10 días no mejora o si va a más, conviene revisarlo. Y si además sangra con facilidad, se ulcera, cambia de forma o se acompaña de dolor creciente, mejor no darle más vueltas. 

Muchas veces, el hallazgo más simple en consulta es que hay un punto de roce o un ajuste mejorable. Y cuando eso se corrige, el color y la inflamación bajan rápido. 

Encía morada después de endodoncia, extracción o implante: qué es normal y qué no

Después de una endodoncia, una extracción o un implante, la encía puede verse más morada por el propio proceso de cicatrización y por pequeños hematomas internos conocidos como equimosis. No es raro que, incluso con una intervención perfecta, el tejido reaccione con inflamación moderada y cambios de color durante varios días. 

En general, lo que tranquiliza es la tendencia: si cada día estás un poco mejor (aunque sea lentamente), suele entrar dentro de lo habitual. En cambio, si el dolor aumenta con los días, si aparece un mal olor muy marcado, supuración, fiebre o una hinchazón que se extiende, entonces ya no hablamos de “un morado normal” y conviene revisar para descartar complicaciones y tratarlo cuanto antes. 

Un consejo práctico: no te quedes solo en el color. Observa también si puedes masticar mejor, si la molestia baja, si la inflamación cede y si el aspecto general mejora. En boca, la evolución suele decir más que una foto fija

Encías moradas…también en los bebés

En bebés y niños puede verse una zona azulada o morada en la encía justo donde va a salir un diente. Muchas veces es un hematoma o quiste de erupción, que visualmente impresiona, pero suele ser benigno y resolverse solo cuando el diente erupciona. 

Aun así, merece consulta si el bebé tiene fiebre, dolor que no se calma, supuración, dificultad importante para comer por dolor, o si la inflamación crece mucho o no cambia durante semanas. En estos casos, una revisión odontopediátrica aporta tranquilidad y evita que se pase por alto un problema. 

Cómo quitar las encías moradas: qué hacer en casa y cuándo pedir cita

“Quitar” las encías moradas no es tanto borrar un color como resolver la causa. 

Si el origen es inflamación por placa, lo que realmente cambia el panorama es una higiene eficaz y suave, sin cepillado agresivo. Es mejor cepillar bien, con técnica y tiempo, que cepillar fuerte. La limpieza interdental también marca la diferencia, porque muchas inflamaciones empiezan entre dientes. Si hay sarro o la encía lleva tiempo inflamada, la mejora más rápida suele venir con limpieza profesional y seguimiento. 

Si sospechas hematoma por golpe, la mejor ayuda suele ser no irritar la zona. Higiene normal, sin apretar justo encima, y paciencia. La encía suele recuperar su aspecto conforme el hematoma se reabsorbe. 

Si el problema se concentra en la muela del juicio, conviene mantener la zona lo más limpia posible sin agredirla, evitar alimentos que se queden atrapados y pedir valoración si hay dolor marcado, mal sabor, supuración o si el episodio se repite. 

Y ahora, lo importante: hay momentos en los que no conviene esperar. Pide cita si el morado es nuevo y no mejora en 7–10 días, si sangras con frecuencia al cepillarte, si hay dolor persistente, mal aliento que no cede o si notas cambios como retracción de encía o movilidad. Y busca atención más rápida si aparece fiebre, hinchazón facial, dificultad para tragar, supuración evidente o dolor intenso que va a más. 

Preguntas frecuentes sobre las encías moradas 

¿Encías moradas sin dolor: me preocupo? 

No necesariamente. Si tus encías han sido oscuras desde siempre y no hay sangrado, inflamación ni cambios, puede ser tu pigmentación natural. Si el color aparece recientemente, aunque no duela, conviene observarlo con criterio: si sangra al cepillarte, si notas hinchazón o si no mejora en 7–10 días, lo razonable es revisarlo. 

¿Cuánto tarda en irse una encía morada por golpe o tras un tratamiento? 

Un hematoma leve puede mejorar en pocos días y seguir aclarando durante una o dos semanas. Tras un tratamiento dental, el aspecto puede variar según el procedimiento y según la tendencia de cada persona a hacer hematomas, pero la clave es que la evolución sea hacia la mejoría. Si el dolor aumenta, aparece mal olor, fiebre o supuración, conviene consultar sin esperar. 

Encía inflamada color morado y dolor: ¿puede ser infección? 

Puede serlo, especialmente si se acompaña de pus, mal sabor, fiebre o hinchazón importante. También puede ser un hematoma doloroso o una inflamación intensa sin infección, pero cuando el dolor es fuerte o va a más, lo prudente es una valoración profesional para confirmarlo y tratarlo a tiempo.