La periodontitis ha dejado de ser entendida en la odontología de vanguardia como una simple «enfermedad de los dientes» para ser tratada como una patología inflamatoria crónica sistémica. En Clínica Dental y Maxilofacial Conrado Andrés, abordamos esta condición no solo desde la limpieza mecánica, sino desde la modulación de la respuesta del cliente y la desorganización de biopelículas complejas. El tratamiento periodontal no es un evento único, sino un proceso estructurado en fases que busca revertir la disbiosis oral y restaurar la homeostasis de los tejidos de soporte.
Cuando un paciente entra en nuestras instalaciones, el objetivo principal es detener la degradación del colágeno y la reabsorción ósea mediada por osteoclastos. Para lograrlo, desplegamos un protocolo basado en la evidencia científica más reciente, que garantiza resultados predecibles a largo plazo. Este artículo se ha diseñado para ser la hoja de ruta definitiva para aquel paciente que no solo busca «salvar sus dientes», sino que entiende que su salud gingival es el guardián de su salud cardiovascular y metabólica. A lo largo de esta guía, analizaremos desde el diagnóstico microbiológico y radiográfico hasta las técnicas de regeneración tisular guiada, proporcionando una visión holística y profunda de lo que la periodoncia moderna puede lograr.
El éxito en el tratamiento de la periodontitis en Clínica Dental y Maxilofacial Conrado Andrés se sustenta en un binomio indisoluble: la pericia clínica del especialista y el compromiso biológico del paciente. No se trata simplemente de eliminar sarro; se trata de cambiar el ecosistema de su boca para que la enfermedad no tenga un lugar donde prosperar. Entender las fases de este tratamiento es el primer paso para recuperar una sonrisa funcional, estética y, sobre todo, biológicamente estable.
Qué es la periodontitis y por qué requiere tratamiento
Para comprender la urgencia del tratamiento, debemos desterrar el mito de que la periodontitis es una «gingivitis avanzada». Mientras que la gingivitis es una inflamación superficial y reversible, la periodontitis implica la ruptura irreversible del aparato de inserción. Es una infección dirigida por bacterias anaerobias gramnegativas que se organizan en un biofilm subgingival altamente resistente. Estas bacterias no solo dañan el tejido por su propia acción, sino que desencadenan una respuesta inmunitaria hiperactiva en el paciente. Es el propio cuerpo, en su intento fallido por eliminar la infección, el que destruye las fibras de colágeno y el hueso alveolar alrededor del diente.
La necesidad de tratamiento es absoluta y no admite demora por una razón crítica: la relación directa con enfermedades sistémicas. La bolsa periodontal es una herida abierta equivalente, en superficie, a la palma de una mano. A través de este epitelio ulcerado, las bacterias y sus toxinas (lipopolisacáridos) pasan al torrente sanguíneo, provocando una inflamación sistémica de bajo grado. Se ha demostrado que esta condición exacerba patologías como la diabetes tipo II, aumenta el riesgo de accidentes cerebrovasculares y está directamente vinculada a la formación de placas de ateroma en las arterias. Por tanto, tratar la periodontitis en Clínica Dental y Maxilofacial Conrado Andrés no es una cuestión puramente dental; es una intervención médica necesaria para reducir la carga inflamatoria total de su organismo.
Si la enfermedad no se intercepta, la progresión es predecible: formación de bolsas profundas, recesión gingival, movilidad dental y, finalmente, la pérdida espontánea o la necesidad de extracción de las piezas. La pérdida de dientes conlleva además una reabsorción ósea acelerada, lo que complica enormemente la futura colocación de implantes. El tratamiento temprano es la inversión más rentable en salud y calidad de vida.
Objetivo del tratamiento: detener la enfermedad y estabilizar las encías

El horizonte terapéutico en nuestra clínica va mucho más allá de la mera eliminación de síntomas. El objetivo primario es la eliminación del nicho ecológico donde las bacterias patógenas proliferan. Para ello, nos enfocamos en el cierre de las bolsas periodontales. Una bolsa periodontal activa es un espacio donde la higiene convencional es físicamente imposible; nuestro tratamiento busca que la encía vuelva a adherirse al diente o que, al menos, la profundidad del surco sea lo suficientemente reducida (3 mm o menos) como para ser mantenible por el paciente.
Otro pilar fundamental es la estabilización del soporte óseo. Aunque el hueso perdido no suele recuperarse de forma espontánea (salvo en técnicas regenerativas específicas), detener la progresión de la reabsorción es un éxito clínico rotundo. Buscamos que el nivel óseo remanente sea denso y libre de inflamación. Esto se logra mediante la descontaminación radicular, que permite que el ligamento periodontal (o un epitelio de unión largo) selle el paso a nuevas colonizaciones bacterianas. La estabilidad es el concepto clave: una boca con antecedentes de periodontitis puede ser funcionalmente perfecta si logramos que los parámetros clínicos se mantengan constantes en el tiempo.
Finalmente, perseguimos la educación y el cambio conductual. El objetivo del tratamiento es también dotar al paciente de las herramientas y la técnica necesarias para controlar su propia biopelícula. Sin esta «estabilización del comportamiento», cualquier intervención en el gabinete será temporal. En Clínica Dental y Maxilofacial Conrado Andrés, consideramos que el tratamiento ha tenido éxito solo cuando el paciente es capaz de mantener un índice de placa inferior al 15% y un índice de sangrado nulo, garantizando así que los resultados obtenidos en la fase activa se perpetúen durante décadas.
¿La periodontitis se cura o se controla?
Desde una perspectiva estrictamente clínica, la periodontitis se define como una enfermedad crónica. Esto significa que, al igual que la hipertensión o la celiaquía, no existe una «cura» que permita al paciente volver al estado exacto anterior a la enfermedad sin necesidad de cuidados posteriores. Sin embargo, en Clínica Dental y Maxilofacial Conrado Andrés preferimos hablar de remisión total y estabilidad clínica. Un paciente puede estar «sano» bajo el diagnóstico de «periodontitis estable», lo que significa que la enfermedad está inactiva, no hay sangrado, no hay supuración y no hay pérdida de hueso progresiva.
La distinción entre curar y controlar es vital para el éxito a largo plazo. Si dijéramos que la enfermedad «se cura» como un resfriado, el paciente podría pensar que, tras el tratamiento, puede descuidar su higiene o faltar a sus revisiones. El control implica una vigilancia inmunológica. Una vez que se ha padecido periodontitis, el sistema inmunitario del paciente ya ha demostrado ser susceptible a ciertas bacterias. Por ello, la arquitectura de los tejidos post-tratamiento siempre será más vulnerable que la de una persona que nunca ha sufrido la enfermedad. La clave reside en mantener la patología en un estado de «letargo» permanente.
Aceptar que es una condición que requiere control no es una mala noticia; al contrario, es empoderador. Gracias a los protocolos de mantenimiento de la Clínica Dental y Maxilofacial Conrado Andrés, nuestros pacientes con periodontitis avanzada mantienen sus dientes naturales durante toda la vida. La ciencia nos dice que la estabilidad es posible y predecible. La enfermedad no tiene por qué avanzar ni un milímetro más si se siguen los pasos adecuados. Por lo tanto, aunque técnicamente hablemos de control, para el paciente la sensación es de recuperación total de la salud y la función.
Cómo se diagnostica y se decide el tratamiento

El diagnóstico en la Clínica Dental y Maxilofacial Conrado Andrés no es una mera inspección visual; es una auditoría exhaustiva de la arquitectura periodontal del paciente. Para trazar un plan de tratamiento predecible, debemos cuantificar con precisión milimétrica la magnitud de la destrucción tisular y la actividad bacteriana actual. No tratamos «bocas», tratamos casos clínicos únicos donde factores como la genética, el biotipo gingival (el grosor de la encía) y la respuesta inmunitaria del individuo juegan un papel determinante. Sin un mapa detallado del estado del hueso y los tejidos blandos, cualquier intervención sería, en el mejor de los casos, un paliativo temporal.
Nuestro protocolo diagnóstico comienza con la recopilación de datos objetivos que nos permiten clasificar la enfermedad según los estándares de la Federación Europea de Periodoncia (EFP). Este proceso es vital porque determina si el abordaje será exclusivamente conservador o si requerirá fases quirúrgicas avanzadas. En esta etapa, evaluamos no solo lo que es visible, sino lo que sucede en el microambiente subgingival. El diagnóstico diferencial nos permite distinguir entre una periodontitis crónica convencional y formas más agresivas de la enfermedad que podrían requerir un protocolo antibiótico específico o una frecuencia de visitas más corta.
Además, en la Clínica Dental y Maxilofacial Conrado Andrés integramos el diagnóstico periodontal con el estado de salud general del paciente. Analizamos factores de riesgo sistémicos, como la hemoglobina glicada (HbA1c) en pacientes diabéticos o el hábito tabáquico, ya que estos condicionan drásticamente la capacidad de cicatrización y el pronóstico de la enfermedad. Al finalizar esta fase, el paciente recibe un informe detallado donde se explica la severidad de su caso, el pronóstico de cada pieza dental y la estrategia terapéutica diseñada a medida para estabilizar su salud oral de forma definitiva.
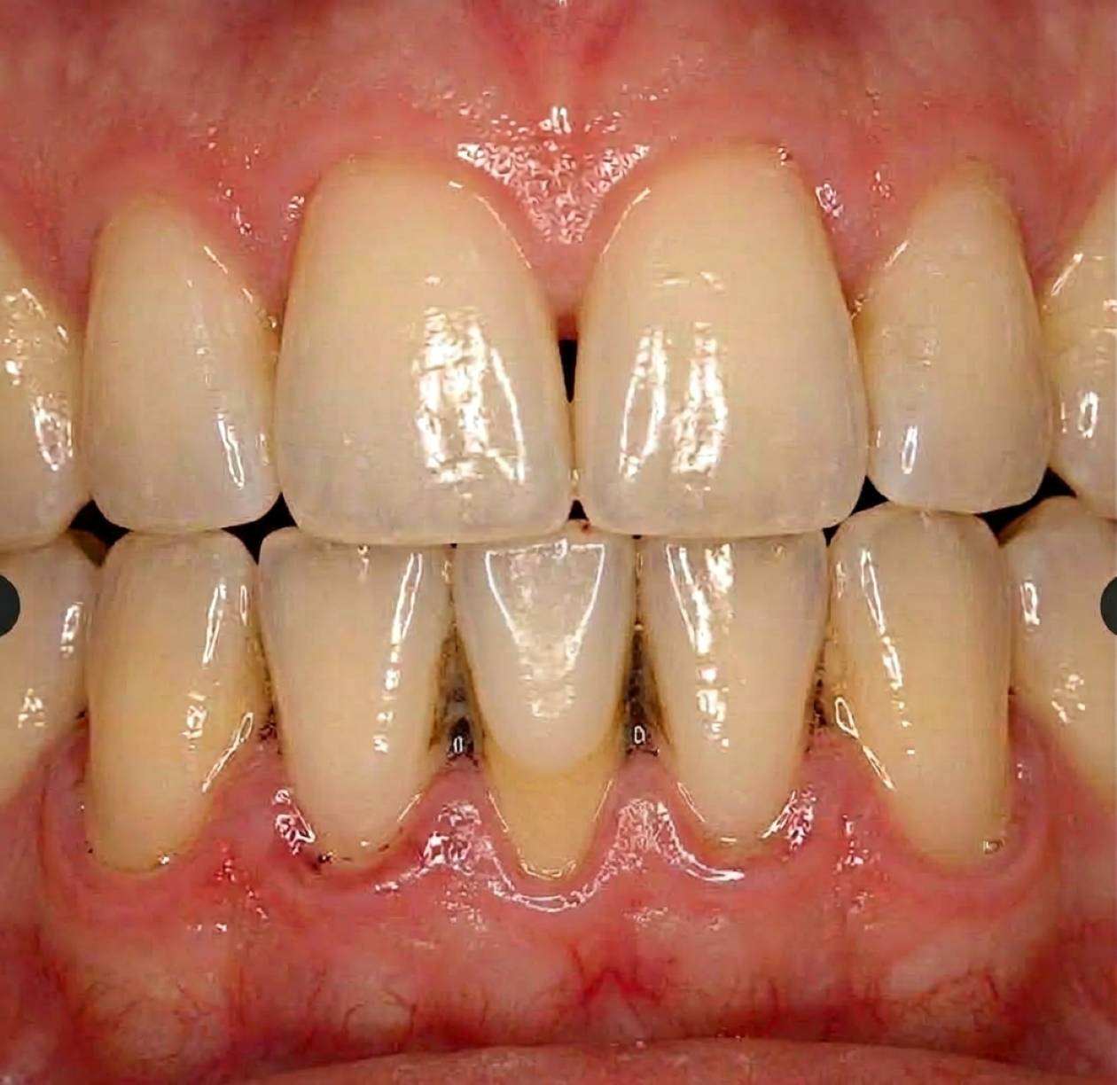
Exploración periodontal: bolsas, sangrado, movilidad y radiografías
La pieza angular de nuestra exploración es el periodontograma. Mediante una sonda calibrada de punta roma, medimos seis puntos alrededor de cada diente para detectar la presencia de bolsas periodontales. Una profundidad de sondaje superior a 4 mm indica una pérdida de inserción que requiere intervención inmediata. Complementamos esta medición con el registro del índice de sangrado al sondaje (BOP); una encía que sangra es una encía con inflamación activa y riesgo de progresión. Asimismo, evaluamos la movilidad dental y la afectación de las furcas (el espacio entre las raíces de los molares) para determinar la viabilidad a largo plazo de cada pieza. Finalmente, realizamos una serie radiográfica periapical completa (estatus radiográfico) para visualizar el patrón de pérdida ósea, ya sea horizontal o vertical, algo que una ortopantomografía convencional no permite apreciar con el detalle necesario.
Gravedad/estadio: por qué cambia el plan y el pronóstico
Clasificar la enfermedad en Estadios (I al IV) y Grados (A, B o C) es lo que nos permite ser precisos. El Estadio define la severidad: desde el Estadio I (incipiente) hasta el Estadio IV (avanzado con riesgo de colapso de la función masticatoria). El Grado, por su parte, mide la tasa de progresión y la susceptibilidad del paciente. Por ejemplo, un paciente joven con poca placa pero mucha pérdida ósea (Grado C) requiere un tratamiento mucho más agresivo y una vigilancia estrecha que un paciente mayor con una progresión lenta (Grado A). Esta clasificación es la que dicta si el tratamiento será puramente mecánico o si necesitaremos recurrir a técnicas de regeneración ósea o cirugía de acceso.
Fase 1: tratamiento no quirúrgico
La Fase 1, a menudo denominada fase etiológica o desinflamatoria, representa el pilar fundamental sobre el que se construye todo el éxito terapéutico en Clínica Dental y Maxilofacial Conrado Andrés. El objetivo es la disrupción mecánica del biofilm bacteriano y la eliminación de los depósitos de cálculo (sarro) que se han mineralizado bajo la encía. Es un procedimiento de alta precisión que busca descontaminar la superficie de la raíz del diente, permitiendo que el tejido gingival se recupere y se produzca un sellado biológico. Sin una Fase 1 ejecutada con excelencia técnica, cualquier intento posterior de cirugía o colocación de implantes está destinado al fracaso clínico por la persistencia de focos infecciosos.
Este tratamiento no quirúrgico se basa en la premisa de que la periodontitis es una enfermedad infecciosa controlable si se elimina el factor irritante principal. Al realizar el raspado, no solo quitamos el sarro visible; eliminamos las endotoxinas bacterianas que se han infiltrado en el cemento radicular. Este proceso induce una respuesta de curación donde el epitelio de unión se alarga y las fibras de colágeno intentan reorganizarse. El resultado clínico esperado es una reducción drástica de la inflamación, el cese del sangrado y, lo más importante, la reducción de la profundidad de las bolsas periodontales por la retracción de la encía inflamada y la nueva adherencia del tejido sano.
En nuestra clínica, entendemos que esta fase es también un periodo de entrenamiento para el paciente. No basta con la intervención del profesional; el control de la placa bacteriana en casa mediante técnicas de higiene interproximal específicas es lo que garantiza que la superficie radicular que acabamos de limpiar no vuelva a ser colonizada inmediatamente. La Fase 1 es, por tanto, una intervención biológica y educativa que sienta las bases para la supervivencia dental a largo plazo, evitando en muchos casos la necesidad de pasar por el quirófano si la respuesta del organismo es la adecuada.
Raspado y alisado radicular (curetaje): qué es y cómo funciona

El raspado y alisado radicular (RAR) es la técnica de elección para limpiar las superficies dentales profundas. Mediante el uso de instrumentación ultrasónica de última generación y curetas de acero quirúrgico de alta precisión, nuestros especialistas eliminan los depósitos calcificados. El «raspado» elimina el sarro de la corona y la raíz, mientras que el «alisado» pule la superficie radicular para dejarla libre de irregularidades donde las bacterias podrían reasentarse. Es un trabajo minucioso que requiere una destreza manual excepcional para asegurar que la raíz quede perfectamente limpia sin dañar la estructura dental, facilitando así la reinserción de los tejidos periodontales.
¿Duele el tratamiento? anestesia, sesiones y molestias posteriores
La comodidad del paciente es una prioridad innegociable en Clínica Dental y Maxilofacial Conrado Andrés. El tratamiento se realiza bajo anestesia local, lo que garantiza que el procedimiento sea totalmente indoloro. Solemos organizar el tratamiento en varias sesiones (normalmente por cuadrantes o mitades de boca) para evitar citas excesivamente largas y pesadas. Tras el tratamiento, es normal experimentar cierta sensibilidad dentinaria al frío o al calor, ya que, al eliminar el sarro, la raíz queda temporalmente más expuesta. Sin embargo, estas molestias son transitorias y se gestionan fácilmente con productos desensibilizantes y una pauta analgésica suave en caso de ser necesaria.
Antibióticos: cuándo se usan y cuándo no
En la periodoncia moderna, el uso de antibióticos es selectivo y nunca sustituye a la limpieza mecánica. Los prescribimos únicamente como coadyuvantes en casos de periodontitis agresivas, abscesos periodontales o cuando el paciente presenta factores de riesgo sistémicos que comprometen su respuesta inmune, como puede ser la diabetes mellitus con mal control glucémico. La ciencia demuestra que el antibiótico es mucho más eficaz cuando se administra inmediatamente después de haber desorganizado mecánicamente el biofilm (el «escudo» de las bacterias). En Clínica Dental y Maxilofacial Conrado Andrés, seguimos protocolos estrictos para evitar resistencias bacterianas, utilizando la medicación solo cuando el beneficio clínico está claramente justificado por el perfil microbiológico del paciente.
Reevaluación: el paso clave para saber si está funcionando
La reevaluación periodontal es, posiblemente, el momento más crítico y honesto de todo el proceso terapéutico en la Clínica Dental y Maxilofacial Conrado Andrés. No es una simple revisión de control; es un segundo periodontograma completo que realizamos entre 4 y 6 semanas después de haber finalizado la Fase 1. ¿Por qué este margen de tiempo? Porque el tejido periodontal necesita un ciclo biológico de reparación para que el epitelio de unión se establezca y la inflamación remita lo suficiente como para ofrecernos datos reales. En esta cita, volvemos a medir cada bolsa, cada punto de sangrado y cada movilidad para comparar los resultados con el mapa inicial.
Este análisis comparativo es lo que define el éxito del tratamiento no quirúrgico. Si las bolsas que inicialmente median 6 mm han pasado a medir 3 mm y el sangrado ha desaparecido, consideramos que ese sector de la boca está en salud. Sin embargo, la reevaluación también actúa como un filtro de seguridad. Si tras un raspado impecable y una higiene excelente por parte del paciente persisten bolsas profundas (lo que llamamos bolsas residuales), el diagnóstico cambia. Estas bolsas indican que las bacterias se encuentran en zonas anatómicamente complejas —como defectos óseos profundos o entradas de furcas— donde el instrumental de la Fase 1 no pudo llegar de forma ciega.
En la Clínica Dental y Maxilofacial Conrado Andrés, la reevaluación no se negocia. Es el punto de inflexión donde decidimos si el paciente puede pasar directamente a la Fase de Mantenimiento o si, por el contrario, presenta áreas que requieren una Fase 2 Quirúrgica. Esta honestidad clínica es lo que nos diferencia: no sobretratamos si la Fase 1 ha sido suficiente, pero tampoco ignoramos focos de infección residual que podrían reactivar la enfermedad en pocos meses. Es la garantía de que cada paso que damos está respaldado por la respuesta biológica real de tus encías.
Qué mejora debería verse (sangrado, bolsas, inflamación)
El primer signo de éxito es la clausura del sangrado. Una encía sana no sangra, y el cese de la hemorragia al cepillado o al sondaje es el indicador de que la actividad inflamatoria ha cesado. Visualmente, la encía debe recuperar su color rosa pálido y una textura de «piel de naranja» (punteado gingival), dejando atrás el aspecto rojizo y edematoso. Clínicamente, esperamos una reducción significativa de la profundidad de las bolsas. Esta reducción se produce por dos vías: la retracción de la encía (el tejido se desinflama y se ajusta al diente) y la ganancia de inserción clínica, donde el tejido se «sella» de nuevo contra la raíz, eliminando el espacio donde antes vivían las bacterias.
Qué pasa si persisten bolsas profundas
Si en la reevaluación detectamos bolsas de 5 mm o más con sangrado, estamos ante un foco de riesgo. Estas bolsas residuales son nichos donde la enfermedad sigue activa y volverá a destruir hueso de forma silenciosa. En estos casos, la Fase 1 ha cumplido su función de reducir la carga bacteriana general, pero no ha podido erradicar el problema en puntos específicos. Aquí es donde planteamos la Fase 2 o cirugía periodontal, con el objetivo de eliminar ese espacio físicamente y permitir que el paciente pueda limpiar esa zona con éxito en su día a día.
Fase 2: cirugía periodontal
Cuando la Fase 1 no es suficiente para cerrar todas las bolsas periodontales, en la Clínica Dental y Maxilofacial Conrado Andrés procedemos a la fase quirúrgica. Es fundamental que el paciente entienda que la cirugía periodontal no es un signo de fracaso del tratamiento previo, sino una herramienta de acceso y precisión. Hay zonas de la raíz dental, especialmente en molares con raíces múltiples, donde el cálculo se adhiere en recovecos imposibles de alcanzar sin visión directa. La cirugía nos permite «levantar» ligeramente la encía para limpiar bajo visión directa y, lo más importante, corregir los defectos que la enfermedad ha dejado en el hueso.
El enfoque de nuestra cirugía ha evolucionado hacia la microcirugía mínimamente invasiva. Ya no buscamos simplemente «cortar encía», sino conservar cada milímetro de tejido blando para garantizar una estética óptima y una recuperación rápida. Dependiendo de la morfología de la pérdida ósea, aplicamos técnicas de cirugía de acceso o técnicas regenerativas. El objetivo final de esta fase es eliminar la bolsa periodontal por completo, transformando un terreno irregular y «sucio» en una arquitectura gingival que sea fácil de mantener. Al terminar esta fase, la boca del paciente debe estar libre de rincones donde las bacterias puedan esconderse.
Además, la cirugía periodontal en la Clínica Dental y Maxilofacial Conrado Andrés tiene un componente reconstructivo. En casos seleccionados, no solo nos limitamos a limpiar, sino que tratamos de devolver al diente parte del soporte perdido. Esto mejora no solo la supervivencia del diente a largo plazo, sino también su estabilidad mecánica. Es una inversión en la longevidad de la dentición natural, evitando la necesidad prematura de implantes dentales en el futuro.
Cirugía de acceso/colgajo: para limpiar bolsas profundas
La cirugía de colgajo es el procedimiento estándar para tratar bolsas profundas residuales. Bajo anestesia local, se realiza una pequeña incisión que permite separar la encía del diente. Esto nos da una visibilidad total de la superficie radicular y del defecto óseo. Limpiamos minuciosamente el sarro remanente y alisamos el hueso si este presenta formas irregulares que favorezcan la acumulación de placa. Una vez desinfectado, la encía se vuelve a posicionar y se sutura con materiales de microcirugía, favoreciendo un sellado hermético que reduce drásticamente la profundidad de la bolsa inicial.
Regeneración e injertos: cuándo tiene sentido recuperar soporte
La regeneración tisular guiada (RTG) es la vanguardia de la periodoncia. En Clínica Dental y Maxilofacial Conrado Andrés, utilizamos proteínas de la matriz del esmalte, sustitutos óseos y membranas de colágeno para intentar que el cuerpo genere nuevo hueso y ligamento periodontal. Esta técnica tiene sentido cuando la pérdida de hueso es «vertical» o en forma de cráter. No todos los defectos son regenerables, pero cuando las condiciones son óptimas, podemos recuperar parte de la firmeza del diente, cambiando radicalmente su pronóstico de «perdido» a «conservable».
Fase 3: mantenimiento periodontal
Llegar a la Fase 3 significa que hemos logrado estabilizar la enfermedad, pero aquí es donde comienza el verdadero reto: el Mantenimiento Periodontal (o Tratamiento Periodontal de Soporte). En la clínica Dental y Maxilofacial Conrado Andrés, consideramos que esta es la fase más importante de todas. La periodontitis es una enfermedad crónica con una altísima tasa de recidiva; sin un programa de mantenimiento profesional, el 80% de los pacientes tratados vuelven a presentar actividad de la enfermedad en menos de dos años. El mantenimiento no es una «limpieza de boca» convencional; es una intervención médica diseñada para desorganizar el biofilm subgingival antes de que este tenga capacidad de destruir el hueso de nuevo.
Durante estas visitas, realizamos un control exhaustivo de los puntos críticos detectados en las fases anteriores. El mantenimiento nos permite actuar de forma precoz sobre las «micro-recaídas» que suelen pasar desapercibidas para el paciente, ya que la periodontitis no duele hasta que es demasiado tarde. En cada sesión, eliminamos el sarro que se ha formado desde la última visita, reforzamos las técnicas de higiene y monitorizamos el estado del hueso. Es un sistema de alerta temprana que protege la inversión en salud, tiempo y dinero que el paciente ha realizado en las fases previas.
El éxito del mantenimiento depende de la personalización. No todos los pacientes necesitan venir con la misma frecuencia. En Clínica Dental y Maxilofacial Conrado Andrés, asignamos un perfil de riesgo a cada paciente (bajo, moderado o alto) basándonos en factores como el tabaco, la genética, el control de la placa y enfermedades sistémicas. Este compromiso mutuo entre clínica y paciente es lo que permite que personas que llegaron a nuestra consulta con movilidad dental severa, sigan conservando sus dientes naturales décadas después. El mantenimiento no es un gasto, es el seguro de vida de tu sonrisa.
Cada cuánto son las revisiones y el mantenimiento
La frecuencia estándar suele ser de cada 3 a 6 meses, dependiendo de la agresividad de la enfermedad y la destreza del paciente con la higiene. Un paciente Grado C (progresión rápida) o fumador, necesitará visitas trimestrales de forma indefinida para mantener a raya las bacterias. En cambio, un paciente con buen control de placa y estabilidad probada puede espaciar sus visitas a los 6 meses. La clave es que el intervalo sea menor al tiempo que tardan las bacterias patógenas en recolonizar las bolsas y empezar a causar daño tisular.
Qué hábitos en casa mantienen el resultado
El tratamiento en clínica es el 50% del éxito; el otro 50% ocurre frente al espejo de tu baño. En Conrado Andrés te prescribimos un kit de higiene específico: el uso de cepillos interproximales es innegociable, ya que la periodontitis ataca principalmente el espacio entre los dientes donde el cepillo normal no llega. El uso de irrigadores bucales, pastas dentales con formulación para encías y, sobre todo, una técnica de cepillado atraumática pero eficaz, son los pilares que mantienen el biofilm bajo control y evitan que la inflamación regrese.
Cuánto dura el tratamiento de la periodontitis
Una de las dudas más recurrentes en nuestra consulta es la dimensión temporal del proceso. Es fundamental entender que el tratamiento de la periodontitis no es un evento puntual, sino una secuencia biológica cronometrada. En Conrado Andrés, no aceleramos los plazos de forma artificial, ya que dependemos de la capacidad de regeneración y respuesta inmunitaria de tus tejidos. Un tratamiento realizado con prisas es un tratamiento con un alto riesgo de recidiva. Por lo general, el abordaje completo de un caso moderado-avanzado puede oscilar entre los 3 y los 6 meses hasta alcanzar la fase de estabilidad total, aunque los resultados visuales y de confort suelen percibirse desde las primeras semanas.
La duración total está segmentada por hitos clínicos. La Fase 1 (descontaminación) suele completarse en 2 o 4 sesiones repartidas en un par de semanas. Tras esto, entramos en el periodo de espera biológica: la reevaluación, que ocurre entre 4 y 6 semanas después. Este tiempo es innegociable, pues es el margen que el ligamento periodontal necesita para desinflamarse y reorganizarse. Si el caso requiere Fase 2 (cirugía), añadiremos entre 1 y 2 meses adicionales para asegurar una cicatrización ósea y gingival madura. Por tanto, hablamos de un proceso de fondo donde la constancia es la herramienta más eficaz para salvar tu dentición original.
Finalmente, debemos recalcar que, aunque la fase «activa» tenga un final, el tratamiento en sí dura toda la vida a través del mantenimiento. En Clínica Dental y Maxilofacial Conrado Andrés, el éxito no se mide por cuánto tardamos en empezar, sino por cuánto logramos que dure tu salud. La duración del tratamiento es, en realidad, el tiempo que decidas mantener tus dientes en boca; nosotros ponemos la tecnología y el conocimiento, y tú pones el compromiso en las citas de seguimiento.
Tiempos realistas por fases
Para que puedas organizarte, la Fase 1 suele llevar de 15 a 21 días. El periodo de «silencio clínico» para la reevaluación suma otros 45 días. Si pasamos a cirugía, el proceso quirúrgico y la retirada de suturas ocupan unos 15 días, seguidos de un mes de maduración de tejidos. En resumen, un paciente estándar suele estar «de alta» hacia la fase de mantenimiento en un periodo de 3 a 4 meses desde su primera visita diagnóstica.
Señales de mejoría y cuándo se estabiliza
Las primeras señales de éxito aparecen tras los primeros 10 días del raspado: el sangrado disminuye drásticamente y el mal aliento (halitosis) desaparece al eliminar los focos de putrefacción bacteriana. La estabilización real —cuando la encía ya no se mueve y las bolsas están selladas— se confirma en la reevaluación a los dos meses. Sabrás que estás estabilizado cuando tu encía esté firme, de color rosado y no sientas molestias al masticar ni al cepillarte.
Cuidados después del raspado o la cirugía: qué hacer y qué evitar
El éxito clínico de lo realizado en el gabinete de Conrado Andrés se consolida en las 72 horas posteriores al tratamiento. Tras un raspado o una cirugía periodontal, los tejidos se encuentran en un estado de remodelación crítica. Las pautas postoperatorias no son meras sugerencias; son instrucciones para proteger el coágulo sanguíneo y permitir que las células progenitoras inicien la reparación del colágeno. Un descuido en esta fase, como un cepillado traumático o el consumo de tabaco, puede arruinar un procedimiento técnico impecable al introducir bacterias en una zona que aún no ha sellado.
La gestión de la inflamación es el primer paso. Es normal experimentar una ligera molestia o inflamación en la zona tratada, especialmente tras una cirugía. Recomendamos el uso de frío local de forma intermitente durante las primeras horas y seguir estrictamente la pauta de analgésicos o antiinflamatorios prescrita. En cuanto a la actividad física, aconsejamos evitar esfuerzos intensos durante los primeros 2 o 3 días tras una cirugía, ya que el aumento de la presión sanguínea podría provocar micromovimientos en las suturas o hemorragias innecesarias que retrasarían la cicatrización.
La dieta juega un papel secundario pero relevante. Durante las primeras 48 horas, es preferible optar por alimentos blandos y a temperatura ambiente o fría. El calor extremo provoca vasodilatación, lo cual favorece el sangrado y la inflamación. Evitar alimentos con semillas pequeñas (como el kiwi o el sésamo) es vital, ya que estas pueden alojarse bajo la encía tratada o entre los puntos de sutura, convirtiéndose en un foco de infección por cuerpo extraño. En la Clínica Dental y Maxilofacial Conrado Andrés, te entregamos una guía postoperatoria detallada para que en ningún momento te sientas desorientado durante tu recuperación en casa.
Cepillado, sensibilidad, enjuagues y alimentación los primeros días
El cepillado en la zona tratada debe ser extremadamente suave, utilizando un cepillo quirúrgico de cerdas ultra-blandas. Es normal que notes sensibilidad al frío; esto se debe a que las raíces están ahora libres de sarro y más expuestas. Para combatirlo, prescribe enjuagues o geles de clorhexidina (según nuestra pauta) para desinfectar sin necesidad de frotar mecánicamente la herida. La alimentación debe ser fácil de masticar, evitando irritantes como el picante o el ácido (limón, vinagre).
Cuando volver antes de tiempo
Aunque las complicaciones son raras, debes contactar con la clínica de inmediato si experimentas un sangrado que no cesa tras presionar con una gasa, una inflamación que aumenta después del tercer día, fiebre o un dolor intenso que no remite con la medicación. Estos signos podrían indicar una infección secundaria o una reacción adversa que debemos atajar de inmediato para no comprometer el resultado del tratamiento.
Preguntas frecuentes sobre el tratamiento de la periodontitis

En la Clínica Dental y Maxilofacial Conrado Andrés, creemos que un paciente bien informado es un paciente que obtiene mejores resultados. La periodoncia es una especialidad rodeada de mitos que pueden retrasar la búsqueda de ayuda profesional. Por ello, hemos recopilado las dudas que generan mayor fricción en la toma de decisiones. No se trata solo de responder preguntas, sino de desmantelar conceptos erróneos que ponen en riesgo tu salud. La pregunta más importante que debes hacerte no es cuánto cuesta el tratamiento, sino cuál es el precio de no hacerlo: la pérdida de función, de estética y el impacto en tu salud sistémica.
Muchos pacientes se preguntan si su caso es «demasiado avanzado». La respuesta, en la gran mayoría de las situaciones, es que siempre hay algo que ganar. Incluso en casos de pérdida ósea severa, el tratamiento periodontal detiene la hemorragia de soporte, permitiendo conservar piezas que de otro modo caerían en meses. Otra duda común es el impacto de factores externos. La periodontitis es una enfermedad multifactorial; el tratamiento es el motor principal de curación, pero factores como el estrés, la genética y las enfermedades crónicas actúan como aceleradores o frenos.
Nuestro compromiso es ofrecerte respuestas basadas en la evidencia científica. No utilizamos soluciones mágicas ni tratamientos «exprés». Utilizamos protocolos probados que han salvado miles de sonrisas. Si tienes una duda que no aparece en este listado, nuestro equipo de especialistas está a tu entera disposición para realizar una interconsulta y darte la claridad que necesitas para dar el paso hacia una boca sana.
¿Qué pasa si no me trato?
La respuesta corta es: perderás tus dientes. La respuesta larga es que la infección avanzará, destruyendo el hueso de forma silenciosa. Además, mantendrás un estado inflamatorio crónico en tu cuerpo que se ha vinculado con un mayor riesgo de infarto de miocardio, complicaciones en el embarazo y dificultades para controlar el azúcar si eres diabético. La periodontitis no se detiene sola; solo empeora.
¿Puede volver después del tratamiento?
Sí, la periodontitis puede recidivar si se abandonan los hábitos de higiene o las visitas de mantenimiento. Al ser una enfermedad crónica, la susceptibilidad bacteriana siempre está ahí. Sin embargo, si sigues el programa de mantenimiento de nuestros centros, las probabilidades de que la enfermedad se reactive de forma agresiva son mínimas.
¿Se puede tratar en casa sin dentista?
Rotundamente no. No existe ningún enjuague, pasta dental o remedio casero capaz de eliminar el sarro subgingival (el que está bajo la encía). Los productos comerciales solo actúan sobre la placa superficial. Intentar tratar una periodontitis en casa es como intentar apagar un incendio forestal con un vaso de agua: solo retrasas el tratamiento necesario mientras el daño sigue avanzando.
¿El tabaco o la diabetes afectan al resultado?
Son los dos factores de riesgo principales. El tabaco reduce el riego sanguíneo en la encía (por eso a los fumadores no les suelen sangrar las encías aunque estén enfermas), lo que enmascara la enfermedad y frena la cicatrización. La diabetes mal controlada, por su parte, altera la respuesta inmune, facilitando la destrucción ósea. En las clínicas Conrado Andrés, coordinamos el tratamiento con estos factores para maximizar el éxito.

